In addition to the prevention and treatment of periodontal disease, Dr. Albani performs several procedures to remove or re-contour periodontal tissues to improve aesthetics and give patients a better-looking smile.
A beautiful smile not only radiates personal warmth, but it also illuminates your face and accentuates your best features. Ideally, when you smile, your teeth and only a minimal amount of gum tissue should be evident. However, a "gummy" smile displays an excess amount of pink gingiva, diminishing one's facial aesthetics and even compromising the look of a well-aligned and vibrant smile.
At Centre For Excellence in Periodontics and Implant Dentistry PC, we analyze every aspect of your smile, including how much tooth structure vs. the amount of gum tissue that is showing when you smile. We'll then recommend the best course of care to improve the appearance of your smile.
A crown lengthening is a common procedure that is routinely performed to re-contour gum tissue and bone as needed to reduce the appearance of a "gummy smile" when too much of the gums and far too little tooth structure is displayed when smiling. It can be performed on a single tooth to make the gum line appear even with the other teeth or on several teeth to improve a smile's overall appearance. Alternatively, a crown lengthening procedure can also be performed with the intent of making more tooth structure available for the placement of a dental crown or dental bridge. This situation is often the case when a tooth is decayed or otherwise damaged below the gum line.

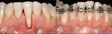
In addition to the development of pockets and bone loss, periodontal disease can cause the gums to recede, thereby exposing the roots of the teeth. When the root of a tooth loses its overlying soft tissue, it becomes more vulnerable to decay, sensitivity, and additional bone loss. Gum recession also takes a toll on smile aesthetics. Having front teeth affected by this problem can make a broad smile less aesthetically appealing as uncovered root structure is displayed. While gum recession may be one of the consequences of gum disease, aggressive tooth brushing, and other habits can also wear away gum tissue.
By performing a gum graft procedure, which is also known as a "gingival graft or soft tissue graft," we can replace the soft tissue over the exposed area of the tooth to address the problems created by receding gums. A gum graft may be performed on a single tooth or multiple ones. And, based upon the needs of the case, our periodontist will determine which type of gum graft to employ.
The three types of gum grafts include the following:
Following a gum graft procedure, our office will provide detailed post-operative care instructions as well as set up appointments to make sure the surgical site is healing properly and to check that the graft is successful.


Soft tissue grafts correct severe damage and loss of gum tissue to protect the health of your teeth as well as restore the look of your smile.
Excessive gum tissue and overgrowth can develop for a number of reasons. It may be due to inflammation, systemic disease, a genetic condition, or as a side effect of certain medications. The type of treatment depends on the underlying cause. While gingivitis, which is the first stage of gum disease, may respond to improved oral hygiene and non-surgical periodontal treatment, a gingivectomy may be the best way to address overgrown gum tissue due to medication or disease.
During a gingivectomy, our periodontist removes a precise amount of tissue around the affected teeth and then sculpts the gumline to improve smile aesthetics and support good oral health. Typically performed under local anesthesia, a gingivectomy can involve either a single tooth or multiple teeth, as indicated. Following the procedure, patients are provided with detailed post-operative instructions.

A Gingivectomy performed to remove excess gum tissue that developed as a side effect of the medication, Dilantin.